Comprehensive Care for a Healthier, Happier Smile.
Routine Check-ups & Cleanings: Prevent problems before they start with our thorough exams and expert cleanings.
Cosmetic Solutions: Brighten, straighten, and perfect your smile with our top-rated cosmetic treatments.
Family-Friendly Care: Serving smiles of all ages – from kids to adults, we’ve got you covered!
Dr. Julio Rosado & Associates Miami FL Office Tour
Fill Out This Form to Request Your Dental Appointment
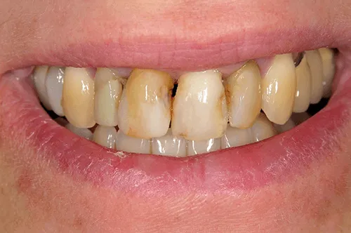
Before

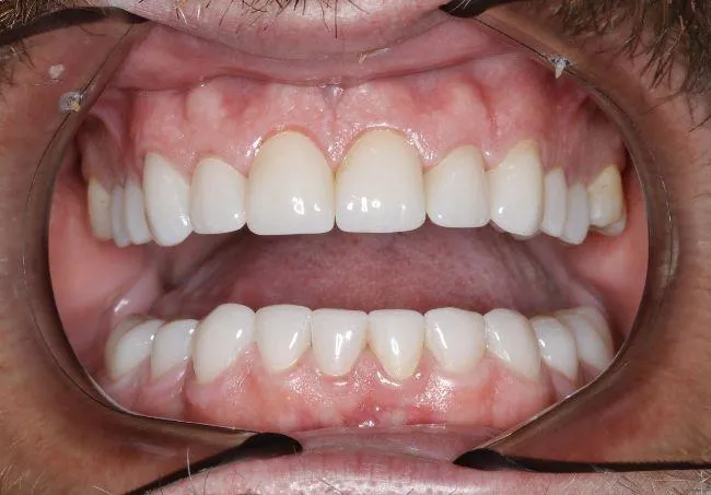
After

Before

After

Before

After

If left untreated, cavities can lead to serious dental problems. Our cavity-filling process involves removing the decayed portion of the tooth and filling it with a high-quality, tooth-colored composite material. This not only restores the tooth's structure and function but also blends seamlessly with the surrounding teeth for a natural appearance.
Dental crowns restore the shape, size, and strength of chipped or damaged teeth. A crown is used when there is insufficient structural integrity to restore the tooth with a filling. We customize each crown to match the color and contour of your existing teeth. Crowns can also be used to complete a dental implant or hold a dental bridge in place.
Dental bridges are anchored onto neighboring teeth or implants, ideal for filling the gap created by one or more missing teeth. Our bridges are crafted from durable materials that mimic the look and feel of natural teeth, restoring your smile’s functionality and aesthetics.
A root canal is a treatment used to repair and save a tooth that is badly decayed or infected. Our process involves removing the damaged area of the tooth (the pulp), cleaning and disinfecting it, then filling and sealing it. The latest advancements in dental technology allow us to perform this procedure with minimal discomfort.
Dental implants are a permanent solution for missing teeth. They provide a strong foundation for fixed (permanent) or removable replacement teeth that are made to match your natural teeth. Implants are more durable than other tooth replacement options and promote jawbone health, preventing bone deterioration.
Whether you need partial or complete dentures, our options are designed for comfort and natural appearance. Dentures improve your ability to eat and speak and maintain the shape of your face, preventing the facial sagging that occurs with tooth loss.
Wisdom teeth removal can be necessary if these teeth are impacted, causing pain or leading to other dental complications. Our team uses precise techniques to extract wisdom teeth effectively, focusing on patient comfort and quick recovery.
Maintaining good oral health requires regular dental visits. Early detection of dental problems such as gum disease, decay, and oral cancer can help prevent them.
Enhance Your Smile: Routine cleanings remove plaque and tartar that can build up even with careful brushing and flossing. They not only prevent tooth decay and gum diseases, but they also help keep your teeth looking great. Regular visits may result in minor aesthetic improvements and stains being removed.
Routine dental care can help protect your teeth from further damage by identifying problems early before more expensive and extensive treatments are required. It is vital to keep your natural teeth for as long as you can; this will benefit your overall health.
Persistent bad breath or halitosis can indicate dental problems. To maintain fresh breath, it is essential to have regular checkups and cleanings.
You can prevent many dental emergencies by treating minor problems early and regularly. Routine dental visits can detect early warning signs that can become more serious if not treated, like a small abscess growing into a large one.
Improve Your Overall Health: Oral health is closely linked to general health. Your teeth and gum condition can affect or contribute to a variety of medical conditions, including cardiovascular disease and diabetes. Regular dental visits are essential for maintaining a healthy body.
By being proactive in caring for your dental health, you can reduce the stress associated with potential dental problems. Routine visits will give you confidence that you're taking the proper steps to maintain your oral health and overall well-being.

Dr. Rosado has been serving the south Florida Miami area with excellent dentistry for nearly three decades. He began his education in dental technology at the Lindsey Hopkins Technical College in Miami, Florida. He then continued his studies in the field of dentistry at the Universidad Central del Este in the Dominican Republic where he graduated in 1987.
He initially began practicing in Hialeah, Florida as an associate. After two years, he was ready to open his own practice. He opened the doors of his office in 1990 and has been serving members of his community ever since.
To keep up with the advancements in dentistry, he continued his education with advanced dental training at the University of Miami. He graduated from his study of implant dentistry in 1993.
Despite his advanced level of clinical skill, Dr. Rosado continued to advance his education each year to keep up with technical developments and new regulations. He completed a two-year course of study at the Dawson Center for the Advancement of Dentistry, a postgraduate educational and clinical research facility dedicated to the advancement of dentistry. He also added a certification to offer nitrous oxide sedation so he can help those patients who are too anxious or fearful to receive dental care without additional support.
He is a member of the International Congress of Oral Implantology, the world’s largest dental implant organization, headquartered in New Jersey. Here he received his Master of Implant Dentistry in 2011.
His training, certifications and memberships have enabled him to restore the oral health and beautiful smiles of thousands of people in his community, as well as prevent and treat health conditions stemming from dental problems.
Watch how Dr. Rosado & Associates has transformed lives, one patient at a time
can’t say enough good things about this dental office. My dentist explained everything clearly, made sure I was comfortable, and the procedure was quick and painless. The office is spotless and modern, and you can tell they truly care about their patients. I highly recommend to anyone looking for a reliable and caring dentist.☺️
To everyone needing a knowledgeable, experienced, committed, perfectionist & compassionate dentist….Dr. Julio Rosado is the dentist to put your trust in. I’ve been with him since the late 1990’s & left after retiring in 2020. My family continued with Dr. Rosado so I never lost contact with him & his incredible office staff. During this interlude I used several different dentists under Medicare’s Advantage Plans. They weren’t the same with what I experienced with Dr. Rosado. He never pressured me to return however he is the only dentist that I ever had 100% trust in. I went back as his patient & do not regret it for one minute. If you want & need precision work from your dentist, he won’t disappoint. After all, you do pay for what you get & your smile is the first thing everyone including yourself sees. I totally recommend Dr. Julio Rosado. I highly recommend this Dental office.
Best dental clinic I’ve ever been. From start to finish the staff in the front are wonderful the assistants are wonderful and all of the doctors are fantastic. Office is clean and friendly. Drs explain all procedures with care and answer all questions. They call and check in on you various times. The care and attention to detail they provide is not seen or given by many offices. Over all best dental clinic I’ve ever been to and will continue to go.
This has been our family dentist for a very long time. His knowledge, equipment, staff, and cleanliness are exceptional; Dr. Rosado provides accurate evaluations and then extends a nurturing, caring, and gentle procedures that make each dental session comfortable and I may even say painless. Dr. Rosado radiates a gentle demeanor that establishes confidence each and every time we have attended. It is not, by far, a large conglomerate establishment; however he's been at this location for years. I often speak to other persons in the tiny comfortable lobby, who feel the same way, and are lifelong patients. You'll find adequate care, treatments, and oral treatment counseling, at this location, but will receive and added bonus of a friendly-family staff; Dr. Rosado's wife and now professional son, along will others will meet and greet everyone with a heart-warming smile. YES, I HIGHLY, HIGHLY, RECOMMEND THIS DENTIST; OR I WOULD NOT EXTEND THIS RATING.
Llevo más de 2 años siendo paciente en esta clínica y solo tengo palabras de agradecimiento. El trato siempre ha sido excepcional, con un nivel de profesionalismo, cariño y humanidad que no se encuentra fácilmente. Desde la recepción hasta los doctores, todo el equipo transmite confianza, calidad y un sincero interés por el bienestar del paciente. Recomiendo esta clínica con los ojos cerrados. Totally recommend Arverne Dental.
Superb team. Caring, compassionate and professional work distinguish this clinic from many others. Highly recommended!

Most patients benefit from a checkup every six months, though some may need more frequent visits.
Cleanings are generally comfortable. If you have sensitivity, we can provide numbing or gentle care options.
If we detect an issue, such as a cavity or early signs of gum disease, we’ll explain the concern and outline your treatment options. Our team will work with you to create a plan that fits your needs and helps restore your oral health as quickly as possible.
Most routine visits, including an exam and cleaning, take about 45–60 minutes. If X-rays or additional treatments are needed, your appointment may run a little longer.
Brush twice a day, floss daily, and avoid excessive sugar for the best results.
At Dr. Rosado’s office we provide a comprehensive preventive care package that includes: a full examination, digital X-rays, a professional dental cleaning (prophylaxis), evaluation of gum health and oral cancer screening. We also discuss your home care routine (brushing, flossing, diet) and recommend any needed sealants or fluoride treatments to help avoid cavities and gum disease.
If you have a cavity the treatment will depend on how advanced it is. For early decay we can perform a tooth-colored filling to restore the tooth structure. If the decay is deeper and involves a large portion of the tooth, we may recommend a crown to protect the tooth. If the decay has reached the nerve of the tooth or caused an infection, root canal therapy may be needed followed by a crown or onlay. Dr. Rosado’s practice offers these services with modern materials and technology, so you can get both health and esthetics.
At Dr. Rosado’s office we explain the implant process step-by-step: first evaluation and planning (including 3D imaging if necessary), then placement of the implant fixture, a healing period to integrate (osseointegration), and finally placement of the crown (or other prosthesis). The benefits of an implant compared to a removable denture or traditional bridge include: it acts like a natural tooth in function and appearance, preserves the bone (preventing bone loss), doesn’t require altering adjacent healthy teeth (as a bridge might), and offers long-term stability. While not every case is suitable for implants, we evaluate each patient individually and help you determine the best option.
Visit Dr. Rosado in Miami, FL, and discover the difference that professional and compassionate dental care can make. Contact us today to schedule your appointment.
